病例分享|胡玉宝:替格瑞洛用于ACS多支病变的分步PCI治疗

『推荐理由』 老年男性,突发下壁心肌梗死,并存在低血压、Ⅲ度AVB等并发症,造影显示RCA急性全闭,而LAD为CTO,LCX也有严重狭窄。病情十分凶险。根据心电图结果,急诊开通罪犯血管RCA,择期处理LAD的策略是正确的。由于RCA为LAD提供侧支血供,保障RCA的通畅显得尤其重要。后续择期处理LAD和LCX也植入多枚支架,因此血栓风险比较大。替格瑞洛抗血小板作用强而稳定,对于此类患者更优于氯吡格雷。成功的手术加上优化的药物方案,为患者提供一个良好的结局。
病史资料(男,65岁)

就诊时间: 2016年10月。

患者主诉: 因“突发胸痛7小时”入院。

体格检查: 体温36.5℃,脉搏36次/分,呼吸20次分,血压84/53mm Hg;神清,双肺呼吸音清,未闻及干湿性啰音。心音有力,律齐,心率36次分,各瓣膜听诊区未闻及病理性杂音及心包摩擦音。 腹软,全腹无压痛及反跳痛,肝脾肋下未触及,肝肾脏区无叩痛,移动性浊音阴性,双下肢无明显水肿。

实验室检查: 【CK】1746 U/L,ProBNP 451.600 pg/ml;【CK-MB】224 U/L;【CREA】138.2 μmol/L; cTnⅠ 27.82 μg/L。

入院心电图: 窦性心律。

彩色超声诊断报告(一): 二尖瓣轻度反流、左室舒张功能减低、收缩功能测定在正常范围内。

彩色超声诊断报告(二): 右肺炎性改变、心影增大。

初步诊断

诊断依据: 老年男性,急性病程,症状表现为无明显诱因下突然出现胸痛7小时,主要位于胸骨后中下段,呈压迫感,有窒息感,伴大汗淋漓,放射至后背部,伴恶心呕吐,无心悸气促,无黑矇昏厥,无腹痛腹泻,无咳嗽咳痰等症状,症状持续不缓解。

病症: 1、冠心病、急性下壁心肌梗死;2、心律失常 Ⅲ度房室传导阻滞。

危险评估: 老年男性,急性起病。

给药情况: 1)拜阿司匹灵 300 mg 负荷剂量;2)替格瑞洛 180 mg 负荷剂量;3)瑞舒伐他汀 20 mg 负荷剂量。

选用替格瑞洛理由: 希望减少急性冠状动脉综合征患者血栓事件的发生,避免新植入的支架或严重狭窄的回旋支出现急性血栓事件后引起致命的心血管事件,而且不增加大出血的发生率。

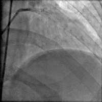
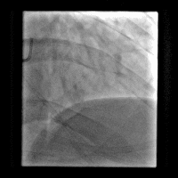
冠脉造影

造影时间: 入院当天03:35~03:52。

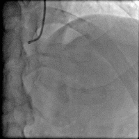
造影结果(一): 前降支近段闭塞,回旋支中远段90%狭窄。

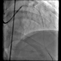
造影结果(二): 右冠中段闭塞。

造影结论及应对策略: 前降支近段闭塞,回旋支中远段90%狭窄,右冠中段闭塞,未行左室造影。病变血管:前降支;回旋支;右冠。与家属沟通,同意行PCI。

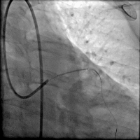
第一次手术过程

手术时间: 入院当天上午4点00分。

术中用药: 术中肝素3000单位。

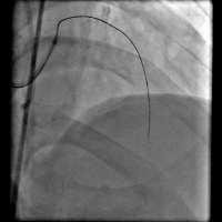
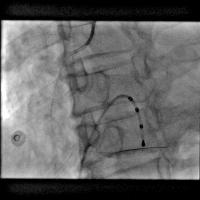
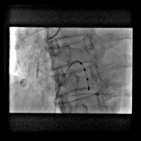
手术过程(一): 将Runthrough NS 0.014″×180 cm导丝通过右冠病变放到右冠脉后降支远端,沿导丝送入抽吸导管反复抽吸。

手术过程(二): 沿导丝送入EXCEL 2.5×14 mm药物支架一枚至右冠中段,以14 atm×12 s释放。

手术总结:

术后心电图:

术后用药: 盐酸替罗非班氯化钠注射液,持续4天;低分子肝素钠0.4 ml:5000 IU,持续8天;替格瑞洛 90 mg bid;拜阿司匹灵 100 mg qn;瑞舒伐他汀钙片 10mg qn;盐酸贝那普利片 10 mg qd;琥珀酸美托洛尔缓释片 47.5 qn;患者支架术后一月,11月再次入院,复查造影,做二次支架。

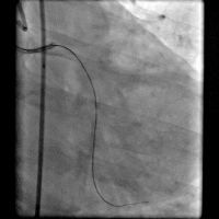
第二次手术过程

手术时间: 2016年11月。

术中用药: 术中肝素6000单位。

造影结果: 左前降支近段闭塞,回旋支中远段90%狭窄。

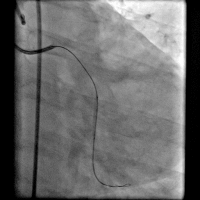
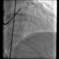
手术过程(一): 将Fielder XT 导丝送入回旋支远端真腔,沿回旋支导丝送入Trek 2.5×20 mm球囊到回旋支中段8 atm×10 s预扩,沿导丝Firebird 2.5×29 mm药物支架一枚到回旋支中远段8 atm×12 s释放。

手术过程(二):

手术过程(三): 微导管支持下ASAHI Gaia 1st 导丝通过前降支真腔。

手术过程(四):

手术过程(五): 沿导丝送入Firebird 2.5×33 mm药物支架一枚至前降支中段10 atm×12 s释放,沿导丝送入Firebird 3.0×23 mm药物支架一枚至前降支近段14 atm×12s释放。

手术总结:

术后用药: 替格瑞洛 90 mg bid;拜阿司匹灵肠溶片 100 mg qn;瑞舒伐他汀钙片 10 mg qn;盐酸贝那普利片 10 mg qd;琥珀酸美托洛尔缓释片 47.5 qn。

病例总结

病变特点及其解决方案: 本例患者为急性心肌梗死合并心原性休克、Ⅲ度房室传导阻滞,属于急高危的ACS患者,应分步进行介入治疗。

抗血小板治疗: 1)患者病情重,起病急,需尽快手术,血栓风险高。2)患者属血管多支病变,手术操作复杂,血栓风险高,死亡风险高。3)患者为急性心肌梗死合并心原性休克、Ⅲ度房室传导阻滞,属于急高危的ACS患者,总共植入4枚支架。

证据引用: 1)对于缺血风险中、高危及计划行早期侵入性诊治的患者,应尽快给予替格瑞洛(负荷剂量180 mg,维持剂量90 mg,2次/d)——《替格瑞洛专家共识》。2)替格瑞洛:负荷剂量180 mg,维持剂量90 mg、2次/d。所有无禁忌证、缺血中-高危风险(如肌钙蛋白升高、包括已服用氯吡格雷)的患者,建议首选替格瑞洛。

个人用药经验及心得回顾: 1)替格瑞洛在急性心肌梗死的患者发病时及时使用,比氯吡格雷能更好的降低患者死亡率达16%。尽早、充分、持久的抗血小板治疗对改善ACS预后意义重大。2)急性心肌梗死、血栓负荷重人群应该给予更积极的抗血小板治疗。3)对于多支病变的患者,应使用更强效的坑血小板药物进行治疗。

替格瑞洛用药注意事项: 出现一般出血(采用CRUSADE风险评分评估患者出血风险;审视总体抗栓策略:不推荐与GPⅡb/Ⅲa联用;合理选择抗凝药物和剂量;与中药联用需慎重;注意高血压、胃肠道疾病、溶栓后、长期抗凝等特殊人群的用药管理;密切监测临床症状和实验室指标)。

医师介绍


胡玉宝,桂林市人民医院心血管内科,主治医师,医学硕士。2005年毕业于广西医科大学,从事临床上常见的各类心血管疾病的诊断治疗及急危重心血管疾病的抢救,主要擅长冠心病的诊断及介入治疗。

二维码(扫一扫即可分享)