图解儿童桡骨头、颈骨折分型与治疗


解剖与流行病学


骨骺与干骺端在儿童期还没有完全闭合,承受外力能力较弱,相对桡骨头骨折,桡骨颈骨折更好发于儿童。因为有较厚的软骨帽,90% 桡骨近端骨折为颈部和干骺端,很少涉及桡骨头,占肘部骨折的 5% 至 8.5%。通常有伴生骨折,包括鹰嘴、冠突和肱骨内上髁骨折。


临床表现


通常有疼痛,压痛,肘关节横径肿胀与前臂旋转受限(旋前 or 旋后)。畸形通常不是一个典型体征,除非合并相关损伤(例如肘关节脱位,尺桡骨骨干骨折)。


常用分型的历史沿革



Judet 分型(成角、移位





1962 年 Judet 和同事根据 X 线片测量桡骨头骨骺或桡骨颈成角移位的严重程度制定 Judet 分型。


  • Type I:0 度或水平移位;


  • Type II:<30 度,移位<横径的1/2;


  • Type III:30-60度,移位>横径的1/2;


  • Type IV60-90度,完全移位。


Salter-Harris 分型(骨骺损伤程度分型)


1963 年 Salter 和 Harris 根据受伤机制及预后将骺板损伤分型,该分型对判断骨折严重程度,指导治疗与判断预后经典且实用,下面是两种记忆方法。


图示记忆法:


字母记忆法:


1.SEPARATED(骺板分离) (the bone and the growth plate have come apart) – but it actually looks normal on x-ray (you can only tell on physical exam).

2.Fracture ABOVE(骺板上骨折) the growth plate.

3.Fracture LOWER (骺板下骨折)(below) the growth plate – fracture extends to the articular surface.

4.Fracture THROUGH (贯通骺板)the growth plate.

5.Fracture ERASING(骺板挤压)/compressing/squashing the growth plate.


Chambers 分型(损伤机制分型)


在 Jeffery 分型的基础上,结合 Salter-Harris 分型并加以综合和补充,确定为 Chambers 分型,进一步阐述了骨折损伤的机制和解剖特点,完善相关的分型。Chambers 分型根据骨折平面所在位置把外翻型骨折分为 3 个亚型:



  • A型:桡骨近端骺板 Salter-HarrisⅠ、Ⅱ型损伤;


  • B型:桡骨近端骺板 Salter-HarrisⅣ型损伤;


  • C型:桡骨近端干骺端骨折。


骨折合并肘关节脱


  • D 型:复位时损伤;


  • E 型:脱位时损伤 。


O’Brien 分型(成角分型)

                           


1965 年,O’Brien 根据桡骨头骺向外下倾斜角度大小分为三级:倾斜<30°为轻度移位,30°~60°为中度移位,倾斜>60°为重度移位。目前临床上主要通过桡骨头颈骨折的移位倾斜角度来确定 O'Brien 分型,进而指导临床采用保守复位抑或手术切开复位。  


Steele-Graham分型(成角、移位)



1992年,Steele 和 Graham 将骨折的成角和移位相结合,把儿童桡骨颈骨折的严重程度分为四级:1 级成角 0°~30°,移位≥10%;2 级成角 30°~60°,移位>10% 而 ≤50%;3 级成角 61°~90°,移位>50% 而≤90%;4 级成角>90°,移位>90%。


该骨折分型通过移位和成角的程度来判断骨折严重程度,对于判断预后,指导治疗和后期的功能锻炼具有重要作用。


AO 分型(解剖结构分型)




认为 Judet 分型虽广泛运用,但不可靠,AO 分型对干骺端、骺板损伤进行区分,分为(a)无移位骨折。 (b)至 50% 移位骨折。 (c)超过 50% 移位骨折。 (d)涉及骺板(Salter-Harris I or II 型骨折)或干骺端骨折。



儿童桡骨头、颈部骨折的影像学检查



在分类损伤之前,正确的影像学检查是避免漏诊、误诊的关键!



X线片





                                       

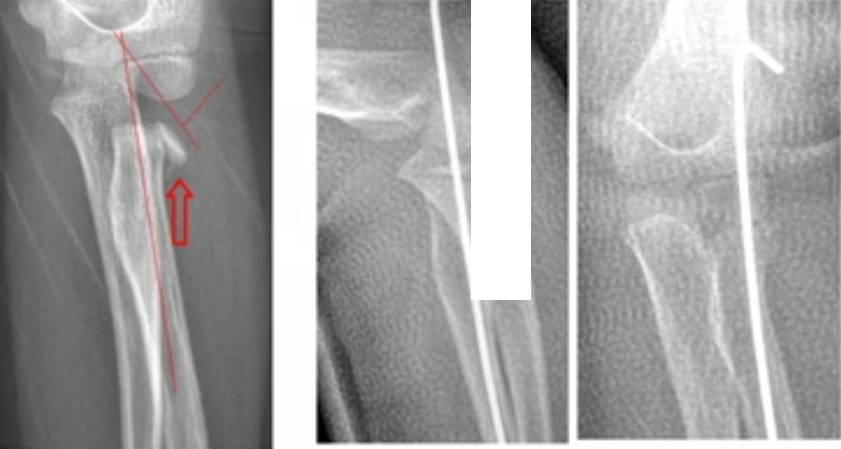
虽然桡骨颈有高达 12 度的外翻角,但是桡骨头应该在每个角度均指向肱骨小头,在桡骨干与肱骨小头的中心连线上。



造影


桡骨头骨化中心尚未显示或显示不清的骨折,常常需要利用造影显示。

             


经外侧入路进行肘关节造影术的进针点及进针方向,解剖标志 1- 肱骨外侧髁,2- 桡骨头,3- 尺骨鹰嘴



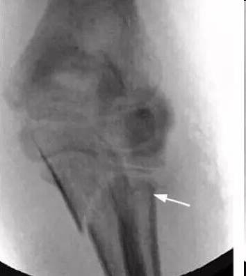
6 岁患者发生 Monteggia 骨折,肘关节造影术术中前后位透视可见经闭合复位后的桡骨颈骨折(白色箭头)和尺骨鹰嘴骨折

               

7 岁患者发生桡骨颈移位性骨折,肘关节造影术术中前后位透视可见关节线,并可帮助骨折获得满意复位(造影相关文字及图片摘引:Nowicki 关节造影术在小儿骨科的应用.林超文译)



CT&MRI



偶尔我们需要利用CT或MRI

 



发生此类损伤,怎样告诉家长?墨尔本皇家儿童医院的健教指南,是一个很好的简便参考。


The Royal Children's Hospital Melbourne  

骨折类型  

教育管理  

后续治疗 

小于10岁,单一骨折,轻度移位或成角(≤30 度成角, <10%翻转)带肘板吊带肘关节屈曲90度、前臂中立位固定3周    1周后骨科门诊X片复查    
其他类型骨折  求助最近的有急诊服务的矫形骨科,进行闭合或者切开复位 根据就诊骨科安排  


治疗的选择

早期 临床上喜欢按照 O'Brien 分型,指导临床。

1

小于 30 度,无需复位,石膏固定三周。


小于 30 度成角或者闭合复位后仍残留 30 度以内的成角、3mm 以内的移位都是可接受的,屈肘 90 度,前臂中立位固定 3 周


2

30-60 度的中度成角,急诊室试行清醒镇静下闭合复位。


Esmarch复位法

1871年德国军医总外科医生Esmarch发表以他名字命名的绷带






常用的 Patterson 技术,理论易懂、技术易掌握




Israeli 技术

被推崇的 Israeli 技术,如获得最大限度的前臂旋转活动度,可衡量骨折复位是否满意,其接受性指标比 X 线片表现更为重要,但这个观点目前缺乏文献的支持。摘自《小儿骨科规避要略》


强调推挤桡骨干的哥伦巴斯技术


上述方法,单一使用,也可以联合运用(在闭合撬拨复位时仍然可以联合运用)


3

大于 60 度,手术室内复位,闭合仍不成功,尽可能经皮闭合复位,做好必要时性切开复位准备。

Wallace法

哥伦巴斯技术都强调将桡骨干推向外侧




克氏针撬拨技术




摘自:《小儿骨折外伤 日本骨科新标准图谱》


顺行固定



逆行固定


虽然不推荐贯通肱骨小头与桡骨头,有时候可能比较容易获得稳定

(下图摘自湖南省儿童医院伍江雁医生课件图片


如果可能,克氏针放在非关节面的安全区域更好,Caputo 和他的同事推荐用桡骨茎突与 Lister 结节对应的这个近端范围为内植入物的安全区域。



除了上述安全区的注意外,另外更应警惕损伤神经 图片摘自《小儿骨科规避要略》


Metaizeau技术


可以单独使用 也可结合经皮撬拨技术与闭合复位的方法联合运用。



详细图解如下:




ESIN 复位骨折而且稳定骨折


有时候需要接受切开复位



摘自:《小儿骨折外伤 日本骨科新标准图谱》


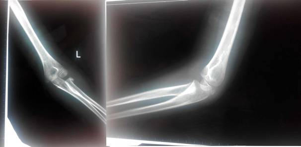
下面这是一个比较极端的例子,120 天的陈旧儿童桡骨颈骨折切开复位,同样获得满意的结果。


2 年后的 X 线片

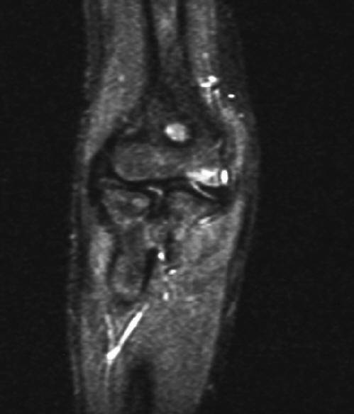
2 年后 MRI 未发现桡骨头坏死



Timothy 等 1998 年提出儿童桡骨颈路线图更具实用性


路线图





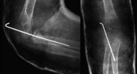
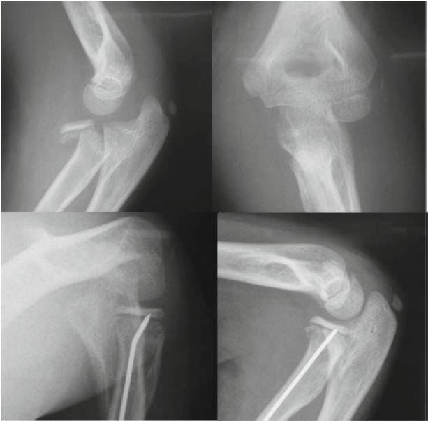
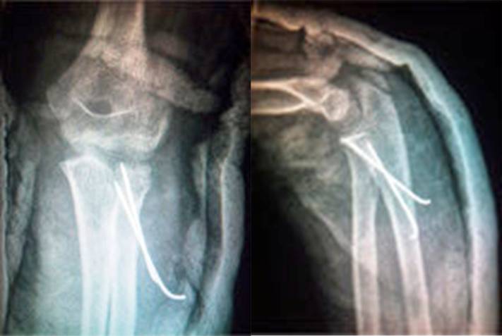
分享笔者科室近期的一例典型病例



8 岁女孩桡骨颈骨折。




接近 90 度(>30度)成角的桡骨颈骨折,仍首先尝试 Patterson 与以色列法等闭合复位方法.




难推动倒斜下的桡骨颈,闭合复位失败,2.0 克氏针扁头经皮撬拨骨折断端,克氏针钝头复位骨折。



取出复克氏针,已经比较稳定,但侧片看见桡骨近端仍有轻微向后、外移位趋势,存在潜在不稳定。




1.5 克氏针固定,避免向后外移位趋势(术后正、侧位X线片及置针的肘部外观)




很显然我们按红箭头走了 Timothy 的路线图。




本文作者:广西中医药大学第三附属医院柳州市中医院  王小芃  周建飞


编辑:刘芳

在微信对话框回复 绑定


获取 5 丁当


具体回复位置如下



参考的部分相关书目:


参考文献:

1. Rockwood CA, Wilkins KE, King RE. Fractures in children. Philadelphia: Lippincott; 1991:728–51.

2. Tachdjian MO. Pediatric orthopedics. Philadelphia: WB Saunders; 1972.

3. Rang M. Children’s fractures. Philadelphia: JB Lippincott; 1974.

4. D’souza S, Vaishya R, Klenerman L. Management of radial neck fractures in children: a retrospective analysis of one

hundred patients. J Pediatr Orthop 1993;13:232–8.

5. Jeffery CC. Fractures of the head of the radius in children. J Bone Joint Surg Br 1950;32:314–24.

6.谢志勇, 谭为, 李旭. 儿童桡骨颈骨折的治疗策略及研究进展[J]. 中国矫形外科杂志, 2015, 23(10):912-916.

7. Waters PM, Stewart SL. Radial neck fracture nonunion in children. J Pediatr Orthop 2001;21:570–6.

8. Metaizeau JP, Lascombes P, Lemelle JL, Finlayson D, Prevot J. Reduction and fixation of displaced radial neck fractures by

closed intramedullary pinning. J Pediatr Orthop 1993;13:355–60.

9.Radial neck fractures in children Bryan Hsi Ming Tan,1 Arjandas Mahadev2 Journal of Orthopaedic Surgery 2011;19(2):209-12

10.Radial head and neck fractures in children L. Fuentes-Salgueroa, F.J. Downey-Carmonab, Á. Tatay-Díazb, R. Moreno-Domínguezb,D.M. Farrington-Ruedab, M.E. Macías-Morenob, J.J. Quintana-del Olmob Rev Esp Cir Ortop Traumatol. 2012;56(4):300---305