自豪,世界高难种植牙手术广西也能做


摘要:本文通过记录2017年1月17日广西岭南牙科潘蛟南院长做的世界高难种植牙手术,并分享整个过程给大家,让大家深刻领略世界水平的高难种植牙手术。

种牙热线:0771-5615558

岭南牙科团购地址: https://www.nuomi.com/shop/1388072


手术的特点:

即刻拔牙+即刻开窗植骨+即刻种牙

病人背景:

黄xx,近期牙周炎导致牙齿松动,在别处种牙被拒,慕名而来。


病例分析:

牙周炎导致上牙左右67四颗松动III度,右上67左上6烤瓷冠修复,右下67缺失,活动牙修复,……由于自身原因,患者要求先种植左上67.

难点分析:

1、上颌窦只有不到两个毫米厚度的骨头了

2、上颌窦黏膜有炎症性水肿  

3、拔牙的同时即刻植骨种牙


优势分析:

1、拔牙的同时在上颌窦植骨种牙,术后严密缝合,因此这种病人出血很少。局部麻醉后患者没有任何不适,第二天回访也无不适。

2、传统的种植牙方法是拔牙后等三个月再植骨,再等半年骨头长出来后再种牙,种完再等四个月才能完成镶牙,整个过程会超过1年,此手术采用 即刻拔牙+即刻植骨+即刻种牙,减少了两次手术创伤,成骨效果反而更好。半年后该患者就可以吃香喝辣了。

3、手术30分钟完成,种植体是韩国奥齿泰,直径5.0毫米,长度是11.5毫米。

4、这是真正的种植牙临床经验丰富的口腔医生才能完成的手术,这样的医生真是凤毛麟角,国际水平就是如此。



图一:术前ct检查(上颌窦底只有不到2毫米厚度、上颌窦黏膜有炎症性水肿)


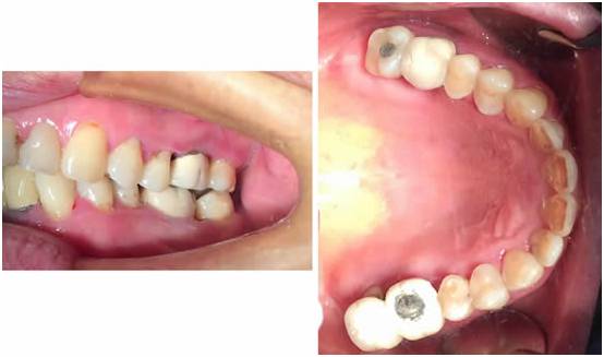
图二:术前准备口内照


图三:术中拔出的问题牙,牙根有很严重的炎症



图四:已经种好并缝合好了

图五:术后CT(植入的骨粉以每个月一个毫米的速度变成自己的骨头,半年后他就可以有可以媲美真牙的种植牙了,就可以吃香喝辣了)


图六:术后CT


更多特惠及分期付款了解方式:

1.请亲临岭南牙科东葛路总店咨询;

2.致电0771-5615558、5537711、4000122120咨询。

如果你想参与更多在线活动,请点击以下“阅读原文”